Svar på Quiz nr 4 – 2019
Det er denne gang kun et forslag. Halvor F Danielsen, overlege i fordøyelsessykdommer, med. avd. Kristiansand sier at det er Mantelcellelymfom
Kristin H Bjørlykke sier også at det var et lymfom: lavgradig follikulært lymfom grad 1-2.
Quiz nr 1 – 2020
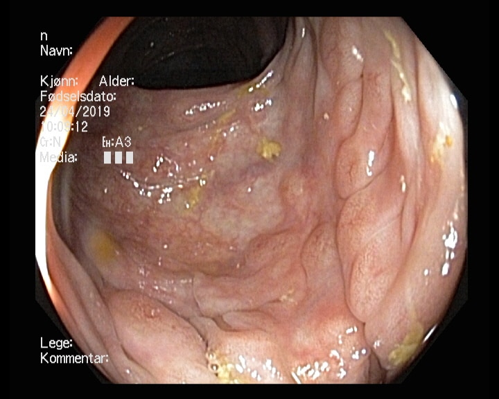
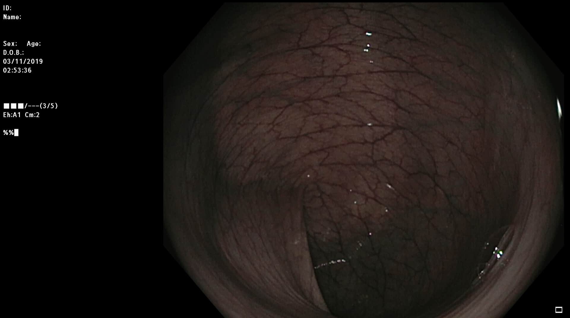
Tidligere frisk mann f.-33 som kom til koloskopi pakkeforløp pga magesmerter, endret avføring, Hb-fall tre enheter og pos hemofec. Trombocytopeni. Bedring etter oppstart PPI. Dag 1 dårlig tømt, kun distal skopi, men funn av stor polypp i venstre colon. Ved gastroskopi ulcerasjoner i tilheling. Dag 2 koloskopi med funn av atypiske polypøse lesjoner i mye av colon, både store og små. Bilde nr. 2 og 3: analt og oralt for sigmoideumvolvulus. Diagnose?
- 1
- 2
- 3
- 4
- 5










